(觀傳媒彰化新聞)【記者陳雅芳/彰化報導】一名29歲男子因突然喘不過氣,前往員榮醫療體系的員榮醫院心臟內科就診。經心臟內科主任陳裕峰醫師診斷後,發現該男子左心室射出分率僅為25%,已達心臟衰竭的嚴重程度,陳裕峰醫師表示,這名患者的情況比其60歲的父親還要危急,讓他感到相當驚訝。
這名男子多年間患有高血壓,但未曾接受治療,陳裕峰指出,高血壓若未控制,長期下來會對心血管造成嚴重損害,甚至引發猝死的風險。根據台灣文獻顯示,心衰竭患者三年內的死亡率可高達50%,遠高於某些癌症。
該名患者在就診時,因喘不過氣且夜間無法平躺入睡,還有嚴重咳嗽等症狀。陳醫師了解後發現,患者並不抽煙,且無糖尿病,唯一的病史為長期未治療的高血壓。最初,陳裕峰醫師並未懷疑該男子存在血管阻塞問題,但進一步檢查後,發現他心臟功能極差,左心室射出分率僅為25%,這對一名29歲的年輕男子來說,實屬異常。

經過詳細檢查後,陳裕峰醫師告知患者病情,並向其父親解釋,兒子的病情比自己還要嚴重,讓父親深感憂慮。隨後,患者開始接受心臟衰竭藥物治療。經過一週的用藥,患者的症狀有了些許緩解。
一個月後的檢查顯示,患者的心臟功能已從25%回升至35%,雖有所改善,但未達預期。後續的檢查中,陳醫師發現患者的心電圖仍顯示缺氧現象,並建議進一步檢查心臟血管。由於患者的父親曾經因血管阻塞接受過心臟血管檢查,陳醫師隨即為患者安排了心導管檢查。

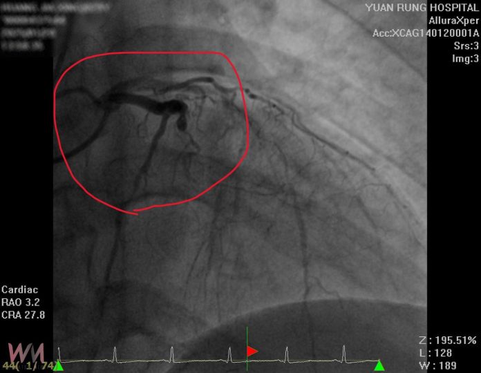
陳醫師表示,原本認為29歲的男子罹患血管問題的機率較低,但檢查結果顯示,患者的三條主要血管左前降支、左迴旋支及右冠狀動脈均嚴重阻塞,這也是導致心臟功能衰退的主因。不同於因病毒感染而引發的心臟衰竭,這名男子的情況是由慢性血管阻塞所致。該男子過去曾因高血壓未治療、熬夜和不良飲食習慣,導致血管逐漸狹窄,最終造成心臟功能衰退。


