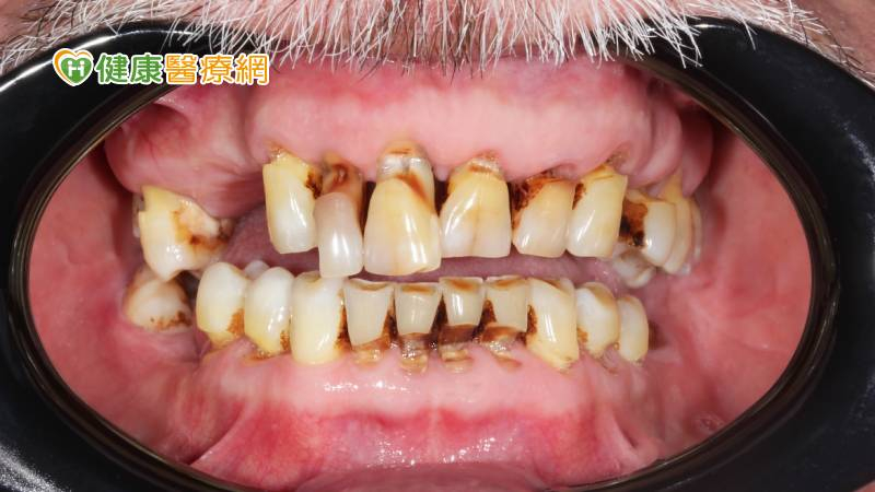
【健康醫療網/記者鄭宜芬報導】70多歲的楊爸爸因牙套脫落求診,不僅蛀牙需要根管治療與拔牙,同時還有其他口腔問題需要治療,痛到要吃止痛藥,長期療程也讓人夜夜失眠且食慾不振,整天心神不寧也不想出門,妻女都相當擔心。中華民國家庭牙醫學會副理事長黃耀慧表示,牙周疾病將增加心血管、心臟代謝、自體免疫以及精神等疾病的發生,且患者出現憂鬱、焦慮的風險增加37%,呼籲民眾力行「愛牙四守則」維繫身心健康。
全球約35億人罹患口腔疾病
根據世界衛生組織(WHO)2022年發布的全球口腔健康資訊指出,口腔疾病是人類最常見的非傳染性疾病(noncommunicable diseases,NCDs),口腔疾病的盛行率是300多種常見疾病的第一名,目前全球約有35億人口罹患口腔疾病,超越消化系統疾病、呼吸道感染和皮膚疾病等。
報告指出,口腔疾病帶給個人身心及社會影響高達10多個層面,無時無刻影響著個人的日常生活,如失智症、糖尿病及心血管疾病等,心理狀態也會受到口腔問題的影響,例如怕就醫的恐懼與焦慮,以及牙齒外觀不佳而造成自信心低下等心理疾病;同時,頻繁地請假看牙也會衝擊個人的社交互動和工作生產力降低等的社會功能。
黃耀慧表示,多年來學術研究也已證實「口腔健康會影響生活品質(Oral Health Related Quality of Life,OHRQoL)」,口腔疾病已經不是只有口腔本身受到影響,共有五大口腔健康狀況,都能影響個人身心健康與生活幸福感的影響。
口腔疾病引起的疼痛與不適
口腔功能
口腔疾病引起的情緒
工作與學習
治療結果
他引述2021年發表在《英國醫學期刊》(BMJ)一份探討牙周疾病對健康影響的大規模流行病學研究,也是全球第一篇研究心理健康與牙周疾病關聯的文獻,牙周疾病將增加心血管、心臟代謝、自體免疫以及精神等疾病的發生,且患有牙周疾病的人出現憂鬱、焦慮的風險增加37%。
3月20日「世界口腔健康日」
3月20日不僅是世界口腔健康日,也是聯合國頒布的「國際幸福日(International Day of Happiness)」。黃耀慧說明,「320」關乎著口腔健康的數字密碼:成人要能維持32顆牙「0」蛀牙;兒童乳牙有20顆;老年人至少要有20顆牙,以世界衛生組織的「320目標」,來達成各階段族群的身心健康與幸福感。
口腔疾病導致的影響除了疾病本身的疼痛與不適,與心理健康也有極大的關聯性。黃耀慧表示,今年世界口腔日的主題為「A HAPPY MOUTH IS…A HAPPY BODY」(健康口腔 幸福一生),呼籲民眾力行「愛牙四守則」,擁有健康的口腔是維繫幸福快樂的基本,也才能更加提升生活幸福感。
檢:定期進行口腔檢查
刷:早晚使用含氟牙膏
線:每天使用牙線(棒)
嚼:吃完、喝完嚼無糖口香糖或使用含氟漱口水。
【延伸閱讀】
他嚴重牙周病戴活動假牙食物咬不爛 「1招」解噴假牙、咀嚼卡卡困擾
資料來源:健康醫療網 https://www.healthnews.com.tw/readnews.php?id=61160
喜歡本文請按讚並分享給好友!
更多健康資訊:健康醫療網https://www.healthnews.com.tw


