53歲男車禍送醫成救命契機 光田醫:意外「撞見」極早期肺腺癌

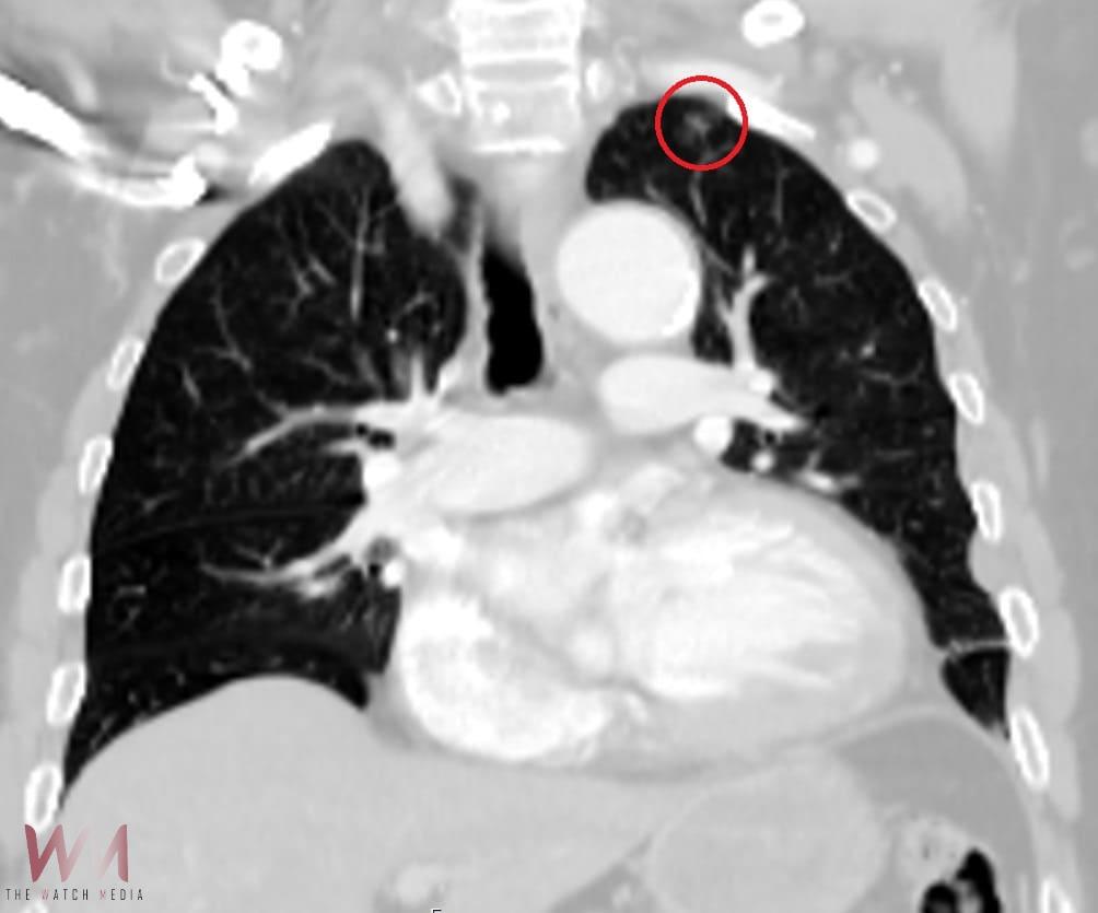
電腦斷層時,意外發現林姓男子肺部邊緣出現0.9公分的肺結節陰影《紅圈處》。(圖/光田綜合醫院提供)

(觀傳媒中彰投新聞)【記者廖妙茜/台中報導】在所有肺癌中,肺腺癌最常見且早期多無症狀。光田綜合醫院胸腔外科陳紀寰醫師表示,當天接獲急診通報,一名車禍林姓男子因嚴重胸部創傷,緊急送至本院急診。經 X 光與電腦斷層檢查,診斷多處肋骨錯位骨折,且伴隨明顯胸腔積血,建議進行手術以清除血塊與骨折復位固定。沒想到,就在醫師與影像醫學科團隊仔細檢視電腦斷層時,意外發現林先生肺部邊緣出現一處僅0.9公分的肺結節陰影,高度懷疑是早期肺腺癌。就這樣,讓這個原本可能潛伏多年、毫無症狀的病灶,因車禍而被提早發現。

進一步發現可疑病灶後,陳紀寰醫師立即與患者及家屬溝通,說明目前的手術計畫將進入胸腔處理骨折與積血,同時也建議利用這次機會,直接切除可疑肺病灶,爭取最佳治療時機。手術順利完成後,病理報告證實為「肺腺癌」。所幸是顆小於1公分的早期腫瘤。陳紀寰醫師指出,該名患者屬於肺癌最早期的第一期,是所有肺癌分期中最輕微、預後最好的階段,不僅幾乎無症狀,治癒率極高。也正因為發現得早,處理及時,術後無需接受化療或放療,目前恢復良好,僅需定期追蹤觀察。

53歲男車禍送醫成救命契機 光田醫:意外「撞見」極早期肺腺癌 - https://www.watchmedia01.com
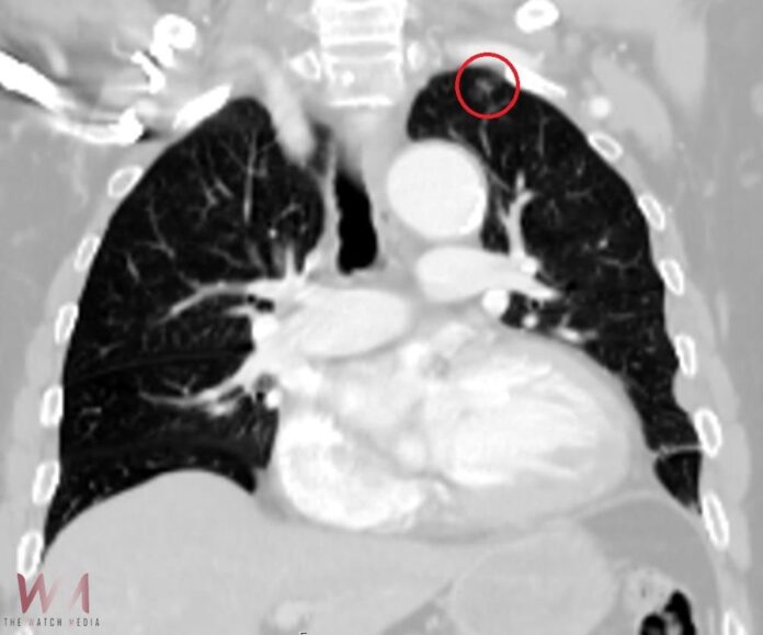
切除可疑肺病灶《紅圈處》後,病理報告證實為最早期的第一期肺腺癌。(圖/光田綜合醫院提供)

陳紀寰醫師坦言,這類情況相當少見。若不是這場車禍促使就醫,林先生恐怕要等到腫瘤擴大、侵犯到周邊血管神經或其他重要結構時,才可能出現症狀,但屆時卻也已錯過治療黃金期。他說明,肺腺癌是目前最常見的肺癌類型,偏好生長在肺部邊緣,由於位置較靠外側,初期不易侵犯位置較內側的氣管、神經或血管,因此多數患者在早期幾乎沒有明顯症狀,可能在體內「無聲無息」潛伏多年,等到被發現時往往已是晚期。

然而,並不是每個人都能像林先生一樣,因創傷意外而提早發現潛藏肺病灶。在台灣,「氣管、支氣管與肺癌」已連續蟬聯多年高居十大癌症死因第一名!值得注意的是,早期肺癌的五年存活率可達約九成,與晚期僅一至三成的存活率相比,差距極為懸殊。

53歲男車禍送醫成救命契機 光田醫:意外「撞見」極早期肺腺癌 - https://www.watchmedia01.com
陳紀寰醫師(左1)提醒,8月15日光田舉辦肺癌防治講座,分享預防、篩檢與照護行動,一同守護爸爸健康。(圖/光田綜合醫院提供)

降低肺癌死亡率的關鍵在於早期發現。民眾可善用政府提供的低劑量胸腔電腦斷層(LDCT)肺癌篩檢補助。114年下修篩檢年限與吸菸史門檻,高風險族群每2年可享1次免費LDCT篩檢。符合條件的40-74歲女性及45-74歲男性,凡具肺癌家族史、重度吸菸史(20 包年以上)或戒菸未滿15年者,每2年可享1次免費低劑量胸腔電腦斷層檢查,及早發現、及早治療。

陳紀寰醫師提醒,真正守住健康的關鍵,是在無症狀時就開始行動。時逢父親節,除了送禮吃飯,更該把關心落實在實際行動中。光田綜合醫院將8月15日,在向上院區舉辦《呼吸的力量!肺癌防治到生活照護的全人健康行動》。活動將分享肺癌的預防與篩檢方式,幫助民眾了解及陪伴肺癌患者。透過知識與行動,傳達父親節代表的愛與守護。

guest
0 留言
Inline Feedbacks
View all comments