
(觀傳媒彰化新聞)【記者陳雅芳/彰化報導】紅斑狼瘡大多發生在年輕及生育年齡的女性,但一名早已過了育齡期的68歲陳姓婦人日前虛弱到無法行走,檢查發現其腎功能急速惡化,竟確診為全身性紅斑性狼瘡。家人一開始還以為老人家只是老化。醫師指出,老人家倦怠無力,最好還是要就醫釐清。

▲68歲陳姓婦人身體虛弱腎功能急速惡化,一查竟確診全身性紅斑性狼瘡。
(示意圖 彰化醫院提供)
衛生福利部彰化醫院腎臟科醫師張淑鈺今(9)日表示,陳姓婦人到衛福部彰化醫院就醫時出現腿部水腫、大小便失禁、吃不下、身體非常虛弱,同時很喘胸悶等多重症狀。經胸腔外科、心臟內科、腎臟科診療,檢查發現其蛋白尿高達500 mg/dL,比小於30的正常值高出甚多,顯示腎臟功能嚴重惡化。

▲高尿蛋白會呈現泡泡尿。
(彰化醫院提供)
張淑鈺表示,腎衰竭使得個案出現水腫、喘、疲憊虛弱等情況,至於腎臟為何會急速惡化,懷疑是免疫系統失調,免疫系統無法辨別外來入侵和自己的細胞,體內自行生成抗體,再攻擊腎臟。

▲彰化醫院腎臟科醫師張淑鈺說,應進一步就醫檢查是否腎臟功能受損。
(圖/記者陳雅芳攝)
彰化醫院免疫風濕科主任高堅凱指出,個案有心包膜積水及蛋白尿等病狀,再經抗核抗體檢驗為陽性及血中補體過低,確診為全身性紅斑性狼瘡,目前還在治療中。他說,老年人紅斑狼瘡,因民眾普遍認識不夠及較無警覺心,常會被誤認為只是老化現象,因此常被拖延,走向洗腎或更嚴重的後果。
高堅凱說,紅斑性狼瘡是一種自體免疫疾病,9成患者是女性,好發於育齡期的女性,大部分患者易於臉部、頸部、手臂等處出現紅斑,因此被稱為紅斑性狼瘡,但有些個案則不會出現這種情況,免疫系統反而是侵犯全身各器官,尤其是侵犯腎臟,稱為全身性紅斑性狼瘡。紅斑性狼瘡的致病機轉還不明確,被認為和基因、環境、荷爾蒙變化有關。

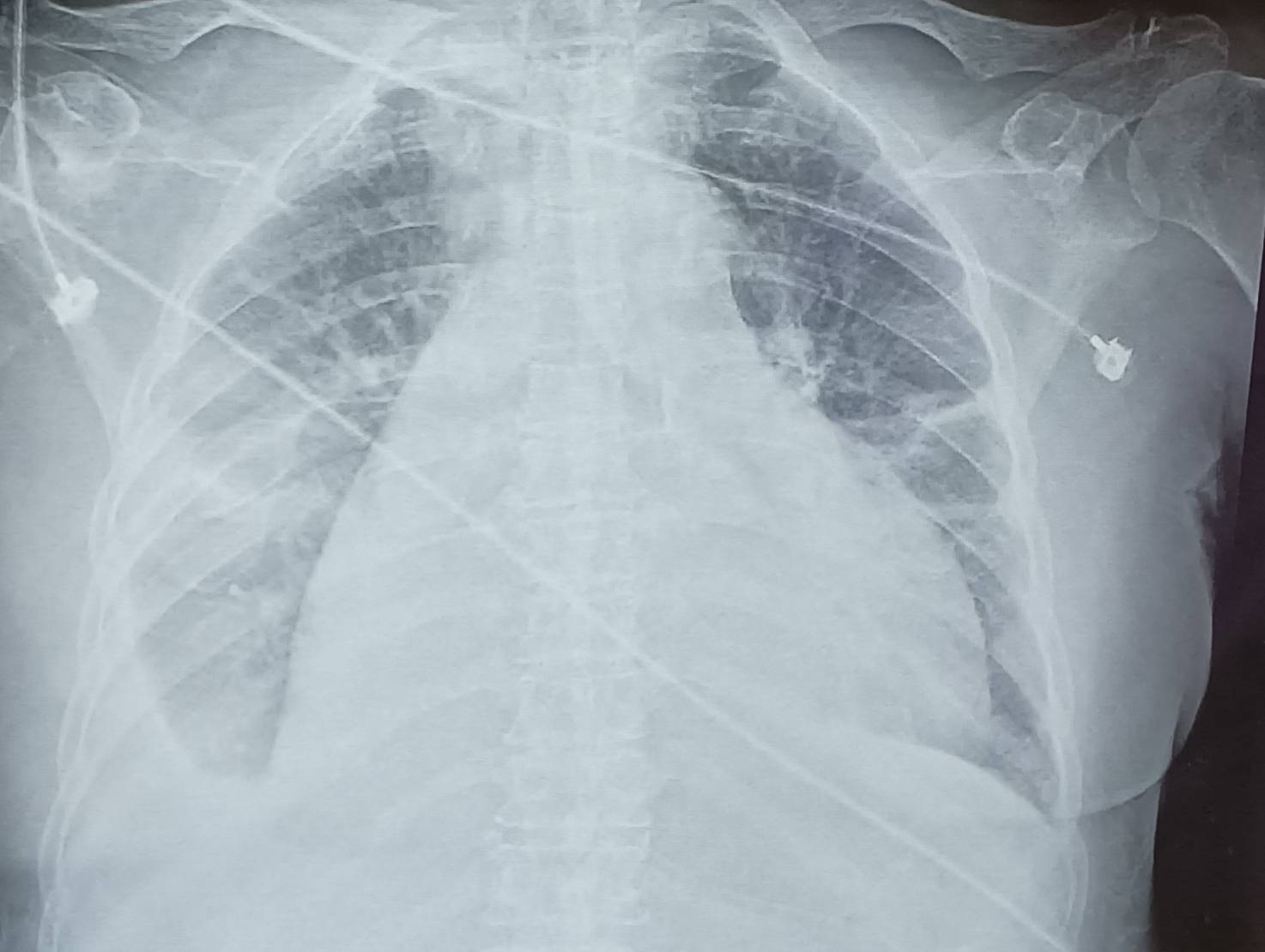
▲個案心包膜積水x光。
(彰化醫院提供)
張淑鈺指出,雖然老年人罹患紅斑性狼瘡的機率小,但也不能輕忽,如果老人家突然變得疲弱,不一定只是單純的老化,如果還有水腫,或是尿液出現大量泡泡,可能是尿蛋白過高,就應進一步就醫檢查是否腎臟功能受損,再釐清原因。

